En genética clínica, uno de los términos que aparece con mayor frecuencia es el cariotipo. Este tipo de análisis cromosómico constituye una de las principales herramientas de primera línea para el cribado de alteraciones cromosómicas, especialmente en el diagnóstico prenatal de embarazos con mayor riesgo.
En este post veremos qué es el cariotipo, cómo se obtiene en el laboratorio y cómo se interpretan sus resultados (representados en forma de cariograma) en la práctica clínica.
¿Qué es el cariotipo y qué información aporta?
El término cariotipo es una palabra polisémica, es decir, tiene varios significados. Por un lado, hace referencia a la dotación cromosómica de una persona (o de una especie). Por otro lado, se utiliza en el contexto clínico para hablar del análisis cromosómico de las células de un individuo.
El cariotipo: la dotación cromosómica de un individuo o una especie
El cariotipo es algo propio de cada especie. Esto significa que el patrón cromosómico de nuestra especie, 23 pares de cromosomas, es diferente al de otras especies, como Drosophila melanogaster, que tiene 4 pares de cromosomas.
El cariotipo puede variar ligeramente entre individuos de una misma especie. Por ejemplo, las personas con Síndrome de Down, tienen 47 cromosomas, ya que disponen de una copia extra del cromosoma 21.
Diferencia entre cariotipo y cariograma
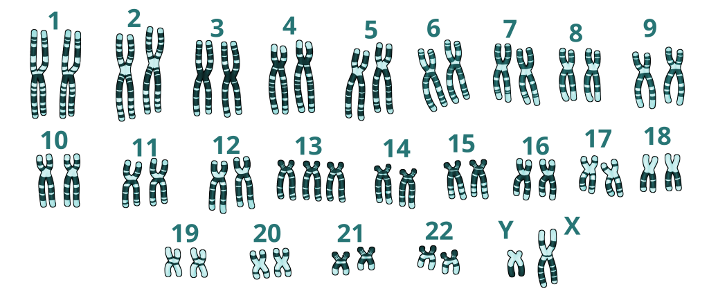
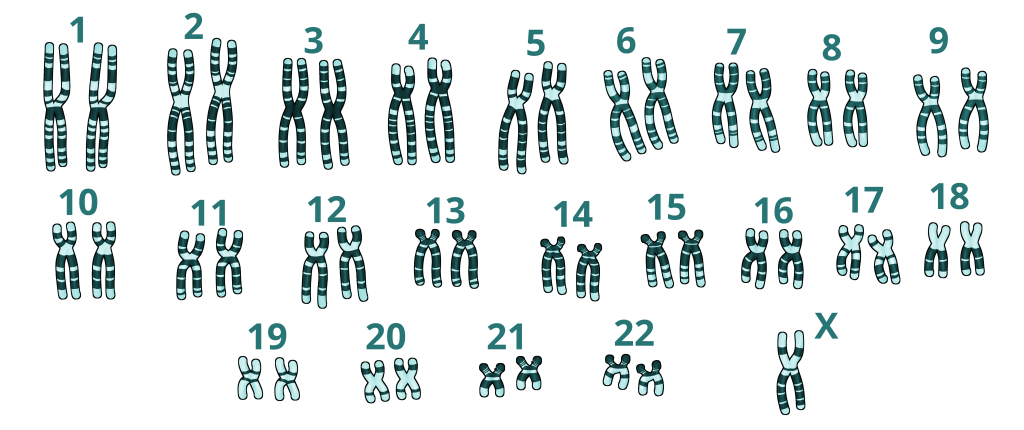
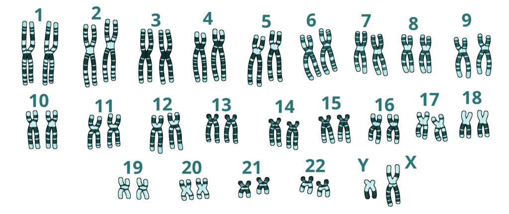
Hablar de cariotipo y cariograma, en clínica, es hablar de prueba y resultado. Mientras el cariotipo sería el análisis cromosómico de las células de una persona, el cariograma sería la imagen ordenada de los cromosomas que se obtiene al hacer el cariotipo. Veamos un ejemplo de cariograma:

¿Qué información aporta el cariograma?
Determinar el cariograma de una persona, tiene diferentes aplicaciones en la práctica clínica, dado que nos permite detectar anomalías en el número (numérica) o la forma (estructural) de los cromosomas. Veamos algunos ejemplos:



Esta prueba no nos permite ver si un individuo presenta alteraciones genéticas “pequeñas” como las mutaciones puntuales o duplicaciones/deleciones de unos pocos pares de bases. Para mutaciones que no podemos ver con el cariotipo hay otras pruebas, como la prueba MLPA, los CGH-arrays o técnicas derivadas de las NGS, de las que os hablaremos en otros posts.
Obtención de muestra: sangre, amniocentesis y biopsia corial
El primer paso para realizar el análisis del cariotipo de un individuo es tomar muestras de alguno de sus tejidos. Normalmente se toma una muestra de sangre, pero también es posible hacer el cariotipo de muestras de médula ósea.
En el caso de fetos en desarrollo, se hace una amniocentesis para obtener una muestra del líquido amniótico, un fluido que rodea y protege al bebé durante el embarazo y que contiene células fetales. En casos de riesgo elevado, también es posible realizar una biopsia corial para obtener la muestra de tejido placentario.

Cultivo celular y obtención de metafases
Después de extraer la muestra, realizaremos un cultivo celular en el medio adecuado. A partir de estos cultivos celulares, se obtienen células en división. Esto es muy importante, porque los cromosomas sólo son visibles durante la división celular, también conocida como mitosis. Si se tomaran muestras de células que se encuentran fuera de la mitosis, su ADN estaría en forma de cromatina y no se podría ver ninguna anomalía numérica o estructural. Para evitar esto, las células son tratadas con colchicina, un compuesto que detiene la mitosis en cierto punto de la metafase, lo que hace que las células queden en una especie de división paralizada para siempre.
Tinción, ordenación y generación del cariograma
Una vez obtenidas las muestras de los cultivos celulares, se utilizan tintes específicos para ácidos nucleicos, que tiñen de diferente forma cada región de los cromosomas, dependiendo de su composición en cuanto a bases nitrogenadas. Esto hace posible que los cromosomas se puedan ver correctamente en el microscopio, a la vez que permite distinguir diferentes bandas en el ADN.
Tras la tinción, las muestras son fotografiadas bajo el microscopio y los cromosomas son ordenados por tamaño y colocados junto a sus homólogos. De este modo, se obtendría un cariograma como este:

¿Cómo se interpreta un cariotipo? Guía de lectura de resultados
Una vez que tenemos el cariograma y el informe citogenético, llega la parte clave: interpretar correctamente el cariotipo. Para ello, los genetistas utilizan una nomenclatura internacional estandarizada que permite describir de forma precisa cualquier alteración cromosómica.
Notación ISCN: cómo leer el informe genético
La notación utilizada se basa en el sistema ISCN (International System for Human Cytogenomic Nomenclature). Aunque al principio puede parecer críptica, en realidad sigue una lógica bastante sencilla.
Un cariotipo con notación ISCN se expresa en tres partes: número total de cromosomas, cromosomas sexuales y alteraciones detectadas. Por tanto, un hombre con cariotipo normal sería 46,XY, mientras que un hombre con trisomía en el cromosoma 21 sería 47,XY,+21.
Alteraciones numéricas: trisomías y monosomías más frecuentes
Las alteraciones numéricas (aneuploidías) implican ganancia o pérdida de cromosomas completos. Son, con diferencia, las más conocidas en la práctica clínica. Entre ellas, destacan la trisomía del cromosoma 21 (síndrome de Down), del cromosoma 18 (síndrome de Edwards), del cromosoma 13 (síndrome de Patau). Otras aneuploidías frecuentes son el síndrome de Turner (45,X) y el síndrome de Klinefelter (47,XXY).
Alteraciones estructurales: deleciones, translocaciones e inversiones
En el caso de las alteraciones cromosómicas estructurales, el número total de cromosomas es normal, pero la estructura de uno o varios cromosomas está alterada. Las alteraciones estructurales más frecuentes que se pueden detectar mediante un cariotipo son deleciones (pérdida de material genético), duplicaciones (ganancia de material genético), inversiones (un fragmento de cromosoma se rompe, gira 180º y se vuelve a insertar) y translocaciones (se intercambian fragmentos entre dos regiones cromosómicas).
Aplicaciones clínicas del cariotipo: cuándo y por qué se solicita
El cariotipo sigue siendo una herramienta muy útil en genética clínica. Aunque hoy contamos con técnicas de mayor resolución, su papel sigue siendo clave en determinados contextos.
Cariotipo en diagnóstico prenatal
Una de las aplicaciones más conocidas es el diagnóstico prenatal temprano de alteraciones cromosómicas que puedan desembocar en diferentes enfermedades o trastornos genéticos. En este contexto, se solicita principalmente el estudio del cariotipo en cribado prenatal en embarazos de riesgo, cuando se detectan alteraciones morfológicas en el feto o cuando existen antecedentes de anomalías cromosómicas en la familia.
Cariotipo en el estudio de infertilidad y fallo reproductivo
En adultos, el estudio de anomalías cromosómicas se indica frecuentemente en estudios de infertilidad y fallo reproductivo. Esto es, principalmente, en casos de abortos de repetición, infertilidad idiopática, oligozoospermia o azoospermia o fallo ovárico precoz. El cariograma puede darnos información sobre translocaciones balanceadas, mosaicismos o alteraciones en los cromosomas sexuales que pueden influir en la fertilidad de alguno de los miembros de la pareja.
Cariotipo en el diagnóstico de enfermedades raras en niños y adultos
Otra aplicación interesante del estudio cromosómico es en el diagnóstico de enfermedades raras. Esto es especialmente relevante en casos de retraso del desarrollo y discapacidad intelectual. Aunque cada vez se complementa más con técnicas moleculares, el cariotipo sigue siendo un primer escalón diagnóstico en muchos algoritmos clínicos.
¿Qué no detecta el cariotipo convencional?
El cariotipo convencional es una herramienta interesante y muy útil, pero también presenta sus limitaciones. Y es que tiene una resolución limitada, de aproximadamente 5-10 megabases. Esto significa que no es capaz de detectar mutaciones puntuales, pequeñas duplicaciones/deleciones o variantes en un solo gen.
Dada su baja resolución, los resultados que se obtienen con el análisis cromosómico convencional no descartan patología genética. Es decir pueden existir alteraciones genéticas “pequeñas”, que tendrán que ser detectadas mediante otras técnicas con mayor resolución.
Cariotipo molecular (array-CGH): cuándo es preferible
El array-CGH (también llamado cariotipo molecular) es una técnica de diagnóstico genético permite detectar variaciones en el número de copias (CNVs) con mucha mayor resolución que el cariotipo convencional. Mientras que en un cariotipo convencional podemos detectar duplicaciones y deleciones de entre 5 000 000 y 10 000 000 nucleótidos, con un array-CGH podemos detectar alteraciones de entre 50 000 y 200 000 nucleótidos, es decir, fragmentos unas 100 veces más pequeños.
