Genética Médica News
Descubren con IA los genes que impulsan el envejecimiento desigual de los órganos reproductivos femeninos durante la menopausia
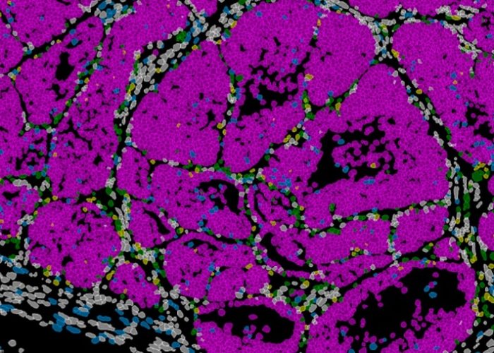
El primer atlas del sistema reproductor femenino muestra la menopausia como un punto de inflexión que reorganiza órganos y tejidos y revela que el envejecimiento de todos no sigue el mismo ritmo. El estudio utiliza inteligencia artificial y la capacidad de supercomputación del MareNostrum 5 para analizar más de 1.000 imágenes de tejidos y la […]
- mayo 12, 2026
Brote de hantavirus: qué se sabe del virus y de la cepa Andes
- mayo 8, 2026
La revolución de la biopsia líquida en la medicina de precisión
- mayo 8, 2026
Revista Científica
"Genética Médica y Genómica"
Revista científica online en español que incluye comentarios, artículos de opinión, casos clínicos, investigaciones y revisiones científicas sobre temas de Genética y Genómica aplicadas a la Salud Humana y Medicina.
Un fármaco contra la ELA recibe la autorización de la Agencia Española de Medicamentos para iniciar su ensayo clínico
- 27/03/2026
Las mitocondrias como pieza clave en una enfermedad rara que provoca microcefalia
- 26/03/2026
Una nueva forma de entender el cáncer: los ecosistemas dinámicos de características tumorales
- 25/03/2026
Una terapia genética experimental muestra resultados prometedores en el síndrome de Dravet
- 24/03/2026
Cómo y cuándo hacer pruebas genéticas en niños con talla baja: nueva guía internacional
- 23/03/2026
Terapia basada en ARN mensajero restaura producción de espermatozoides en ratones
- 20/03/2026
Nueva herramienta para medir la actividad de los editores celulares que alimentan el cáncer
- 19/03/2026
La combinación de terapia celular y cirugía fetal abre posibilidades terapéuticas para la espina bífida
- 18/03/2026
La combinación de biopsia líquida e inteligencia artificial permite clasificar tumores cerebrales pediátricos
- 17/03/2026
Descubren más de 200 enzimas del metabolismo en el núcleo de las células cancerosas
- 13/03/2026
La tagatosa provoca síntomas de síndrome metabólico en descendientes de madres que consumieron fructosa en la gestación
- 12/03/2026
Nutrigenómica para identificar enfermedades raras tratables con vitaminas
- 11/03/2026
El líquido cefalorraquídeo como herramienta para entender la evolución de las enfermedades cerebrales
- 10/03/2026
Evo 2: inteligencia artificial para interpretar y escribir el lenguaje del ADN
- 09/03/2026
Cómo la genética está transformando la medicina reproductiva y el diagnóstico prenatal: master class de Genotipia
- 09/03/2026